浜松市中央区の歯医者さん

〒430-0811 静岡県浜松市中央区名塚町301-1

診療時間
9:00~12:00 × ×
14:00~18:00 × ×

△:13:45~17:00 ※祝日がある週の木曜は診療

休診日
木曜、日曜、祝日

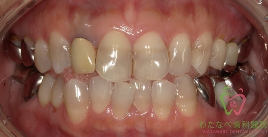
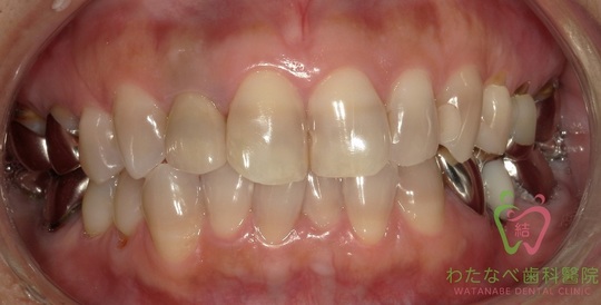
差し歯の色が気になる

Before
After
年齢・性別   
50代・女性
施術名     
ジルコニアセラミック
治療方法    
元の被せものを外し、一度仮歯にて様子を確認。
問題がなかったので改めて型取りをし仮接着。
変わらず問題がなかったので本接着をし、終了。
治療回数    
4回
考えられるリスク
極度に強い衝撃を与えると割れることがあります。
費用      
\132,000-(税込)

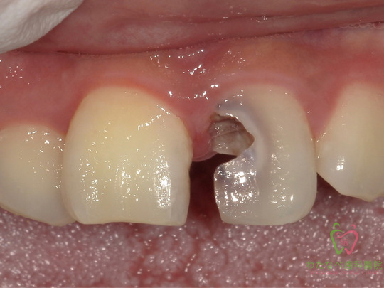
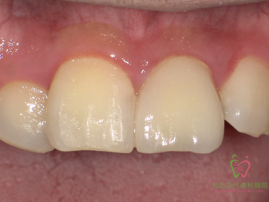
欠けた前歯を治療したい

Before
After
年齢・性別   
30代・男性
施術名     
ジルコニアセラミック
治療方法    
麻酔を使って根っこの治療後、一度仮歯にて様子を確認。
問題がなかったので改めて型取りをし仮接着。
変わらず問題がなかったので本接着をし、終了。
治療回数    
7回
考えられるリスク
極度に強い衝撃を与えると割れることがあります。
費用      
\132,000-(税込)
パソコン|モバイル
ページトップに戻る